首页
创新研发
产品中心
病理IHC整体解决方案
IVD一抗
LYNX310设备
LYNX480设备
免疫显色系统及辅助试剂
RUO试剂
液态细胞质控品
科研创新
科研目录抗体
技术服务
服务中心
资料下载
技术支持
关于我们
公司概况
新闻动态
荣誉资质
人才服务
联系我们
简体中文
简体中文
English
产品中心
病理IHC整体解决方案
科研创新
IVD一抗
LYNX310设备
LYNX480设备
免疫显色系统及辅助试剂
RUO试剂
液态细胞质控品
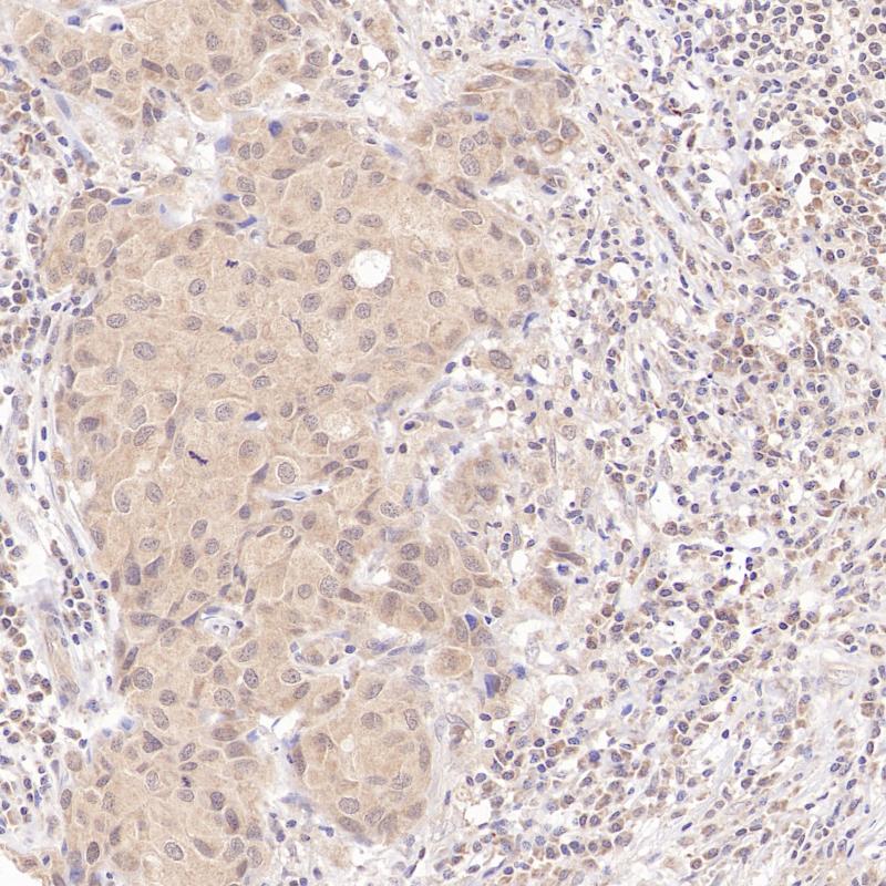
肝细胞肝癌AFP(BP6244)染色
相关产品
Survivin
BP6259
Cytokeratin (HMW)
BP6021/ BP6077
Androgen Receptor
BP6126
AFP
重组兔单克隆抗体
甲胎蛋白(AFP)是一种存在于哺乳动物胎儿肝脏、卵黄囊和胃肠道的糖蛋白。AFP在成人正常细胞中表达较低,但在成人肝癌细胞中异常表达。肿瘤抑制基因p53和β-catenin都参与了AFP表达的调控。在正常的成年细胞中,p53结合到AFP基因的抑制区,从而阻断转录。p53和β-catenin的突变均与AFP的异常表达有关。研究表明,血清AFP水平升高是肝细胞癌的预测指标。AFP在成人肝组织中不表达,但在成人肝癌细胞中异常表达。AFP主要用于肝细胞癌的临床诊断。
Specifications
目录号
BX50267
克隆号
BP6244
阳性对照
肝细胞肝癌
亚细胞定位
细胞质
组织类型
FFPE
修复方式
HIER
稀释比
1:100-1:200
规格
100μl/vial, 1ml/vial
用途
RUO
Support Documents
Datesheet
Contact Us
Address
浙江省杭州市滨江区滨安路688号天和高科技园区5号楼1303室
310052
Phone & Fax
+400-8769-741
+0571-88177680
Web & Mail
sales@biolynx.cn
www.biolynx.cn
Follow Us
Scan QR Codes on Your Phone