产品中心

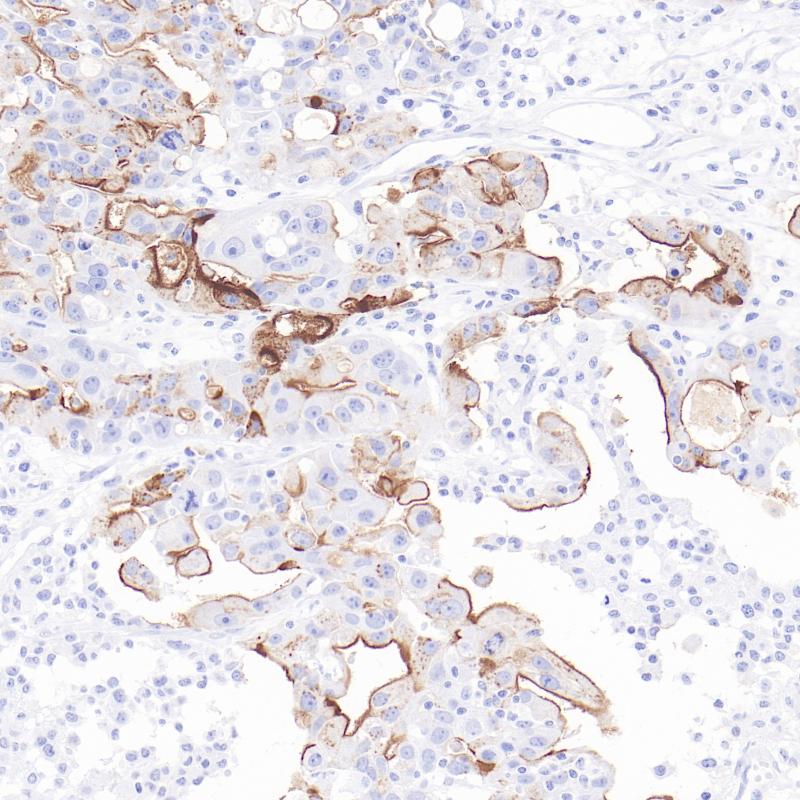
WT1 重组兔单克隆抗体

WT1基因位于染色体11p13,作为一个转录因子,其在泌尿生殖系统的发育过程中起到重要作用,至少存在8种不同的亚型,其相关分子量分别从52kDa到62kDa,由RNA通过不同的剪切结合来编辑完成。WT1初始作为非活性蛋白存在于胞浆中,在磷酸化被激活后,转移到细胞核中。WT1通过抑制bcl-2,调节钙粘素和p53来影响细胞增殖。正常的上皮细胞中,WT1主要在输卵管和卵巢表面上皮细胞中表达,而在子宫内膜和宫颈上皮不表达。对于非上皮细胞,WT1在间皮基质细胞、女性生殖道的基质细胞、睾丸的非生殖细胞以及肾脏的足细胞中表达。在肿瘤组织中,WT1主要在Wilm’s瘤和间皮瘤中表达,浆液性卵巢癌和一些乳腺癌中也有表达。WT1在临床上可被用于鉴别恶性间皮瘤和浆液性卵巢癌。

Specifications

目录号
BX50057
克隆号
BP6062
阳性对照
液浆性卵巢癌
亚细胞定位
细胞核
组织类型
FFPE
修复方式
HIER
稀释比
1:100-1:200
规格
100μl/vial, 1ml/vial
用途
RUO

Reference

1.Carpentieri DF et al. Mod Pathol. 2002 Oct;15(10):1080-6.
2.Goldstein NS et al. Am J Clin Pathol. 2002 Apr;117(4):541-5.

Support Documents

Contact Us

Address
浙江省杭州市滨江区滨安路688号天和高科技园区5号楼1303室
310052
Phone & Fax
+400-8769-741
+0571-88177680
Web & Mail
sales@biolynx.cn
www.biolynx.cn

Follow Us

Scan QR Codes on Your Phone