产品中心

GPA33 重组兔单克隆抗体

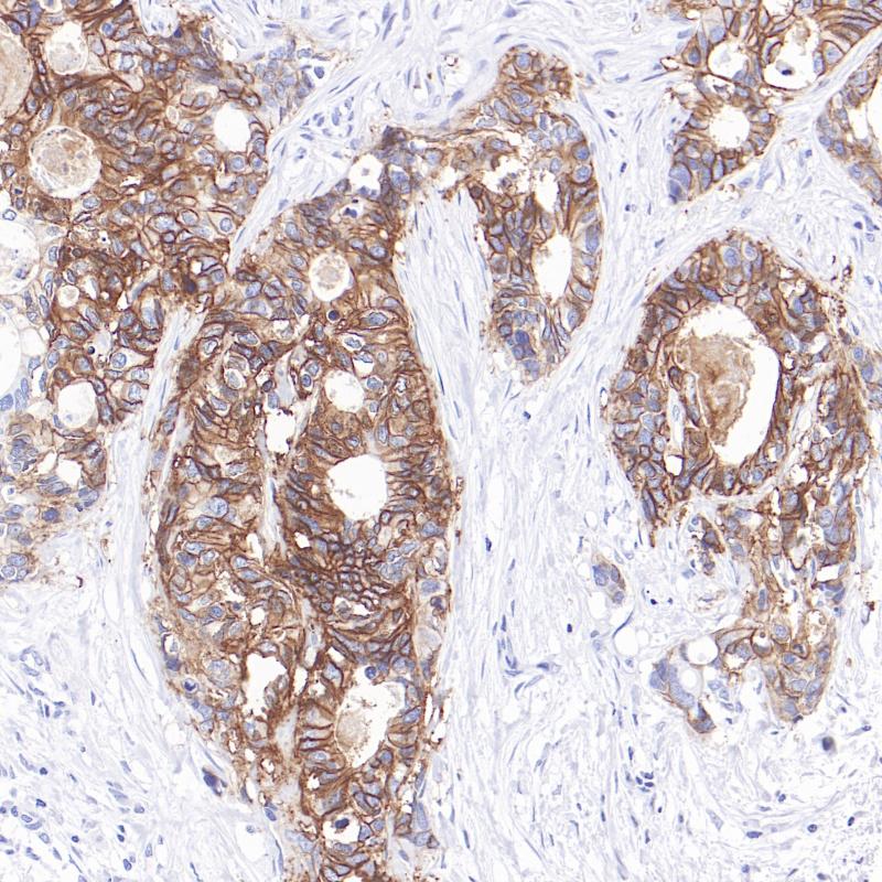
GPA33是免疫球蛋白超家族的新成员。GPA33蛋白在细胞-细胞粘附中起作用,并与形成稳定的细胞群落网络有关。GPA33主要在正常胃肠道上皮和95%的结肠癌中表达。GPA33与结直肠癌和炎症性肠病有很强的相关性。临床上,GPA33免疫组化主要用于结直肠癌诊断、分型与鉴别,是结直肠来源肿瘤的高特异性标志物。

Specifications

目录号
BX50357
克隆号
BP6325
阳性对照
结肠癌
亚细胞定位
细胞膜
组织类型
FFPE
修复方式
HIER
稀释比
1:100-1:200
规格
100μl/vial, 1ml/vial
用途
RUO

Reference

1. Opstelten R. et al. (2021)Eur J Immunol. Jun;51(6):1377-1389.
2. Börding T. et al. (2025)Oncogene. Jan;44(1):30-41

Support Documents

Contact Us

Address
浙江省杭州市滨江区滨安路688号天和高科技园区5号楼1303室
310052
Phone & Fax
+400-8769-741
+0571-88177680
Web & Mail
sales@biolynx.cn
www.biolynx.cn

Follow Us

Scan QR Codes on Your Phone