产品中心

CD5 重组兔单克隆抗体

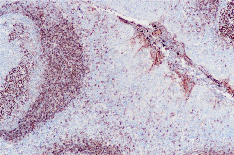
CD5抗原分布于分布于大多数T 细胞及胸腺细胞(95%)及多数T细胞淋巴瘤。套细胞淋巴瘤和慢性B淋巴细胞白血病和小淋巴细胞淋巴瘤也可阳性,而滤泡性淋巴瘤、毛细胞白血病、大细胞淋巴瘤等为阴性。此抗体有助于对B细胞淋巴瘤进行分类,并且可能有助于区分胸腺癌和肺癌。

Specifications

目录号
BX50085
克隆号
BP6090
阳性对照
阑尾
亚细胞定位
细胞膜
组织类型
FFPE
修复方式
HIER
稀释比
1:100-1:200
规格
100μl/vial, 1ml/vial
用途
RUO

Reference

1.Gloria Soldevila, et al. J Leukoc Biol. 2019;1-14.
2.Manjun Zhao, Ningning Duan,et al. Autoimmunity.2019;1-9.

Support Documents

Contact Us

Address
浙江省杭州市滨江区滨安路688号天和高科技园区5号楼1303室
310052
Phone & Fax
+400-8769-741
+0571-88177680
Web & Mail
sales@biolynx.cn
www.biolynx.cn

Follow Us

Scan QR Codes on Your Phone