产品中心

FOXP1 重组兔单克隆抗体

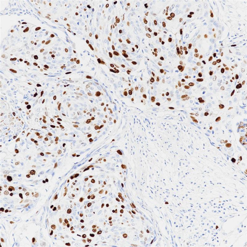
FOXP1(Forkhead box prote1)是FOXP亚家族(FOXP1-4)转录因子的成员,研究表明FOXP1蛋白是与胚胎正常发育、心肌细胞发育、人类和禽类言语形成相关的转录因子,并且是决定运动神经元多样性和连接性的关键因素之一。近年来越来越多的研究证实其与恶性淋巴瘤、乳腺癌、子宫内膜癌、卵巢癌、前列腺癌、结直肠癌等均有一定的相关性。FOXP1是弥漫性大B细胞淋巴瘤的预后指标,尤其是生发中心型弥漫性大B细胞淋巴瘤阳性提示预后不佳。

Specifications

目录号
BX50107
克隆号
BP6112
阳性对照
扁桃体
亚细胞定位
细胞核
组织类型
FFPE
修复方式
HIER
稀释比
1:100-1:200
规格
100μl/vial, 1ml/vial
用途
RUO

Reference

1.Rodenas-Cuadrado PM  et al. J Comp Neurol 526:1235-1266.
2.Louis Sam Titus ASC  et al. J Neurosci 37:6575-6587.

Support Documents

Contact Us

Address
浙江省杭州市滨江区滨安路688号天和高科技园区5号楼1303室
310052
Phone & Fax
+400-8769-741
+0571-88177680
Web & Mail
sales@biolynx.cn
www.biolynx.cn

Follow Us

Scan QR Codes on Your Phone