产品中心

PAP 重组兔单克隆抗体

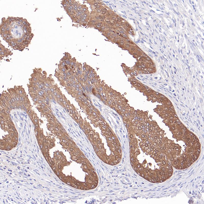
前列腺酸性磷酸酶(PAP)是一种糖蛋白酶,几乎完全由前列腺腺体的柱状上皮细胞分泌至精液中,在那里它会将磷酸酯水解为游离的无机磷酸盐和胆碱,从而维持精子运动和射精后精子染色质解聚所需的适宜酸性pH值。临床上PAP主要用于前列腺癌和转移性前列腺癌的诊断和鉴别诊断。

Specifications

目录号
BX50361
克隆号
BP6329
阳性对照
前列腺癌
亚细胞定位
细胞膜/细胞质/细胞核
组织类型
FFPE
修复方式
HIER
稀释比
1:100-1:200
规格
100μl/vial, 1ml/vial
用途
RUO

Reference

1. Xiao, M. et al. (2024) Front Oncol. May 15;14:1398673.
2. Jingchao, Wei. et al. (2016) Oncol Lett. Aug 12(2):1019-1022.

Support Documents

Contact Us

Address
浙江省杭州市滨江区滨安路688号天和高科技园区5号楼1303室
310052
Phone & Fax
+400-8769-741
+0571-88177680
Web & Mail
sales@biolynx.cn
www.biolynx.cn

Follow Us

Scan QR Codes on Your Phone