产品中心

IKZF3 重组兔单克隆抗体

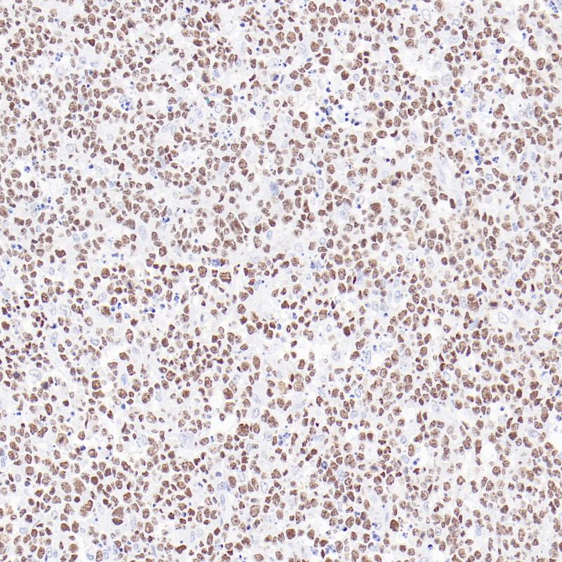
IKZF3(Ikaros锌指结构家族3,也称为Aiolos)主要通过调控靶基因的转录,参与造血干细胞分化、淋巴细胞发育及免疫稳态维持。IKZF3广泛表达于外周血白细胞、脾脏和胸腺中,其功能核心集中于B细胞的成熟、活化及抗体分泌调控,同时在T细胞、NK细胞的发育中发挥辅助作用。在肿瘤发生中,IKZF3常因基因突变、表达异常而参与细胞增殖、凋亡及耐药性的调控。IKZF3的异常表达与肿瘤风险分层相关,有助于个性化治疗计划的制定和生存结果的预测。

Specifications

目录号
BX50365
克隆号
BP6333
阳性对照
弥漫大B细胞淋巴瘤
亚细胞定位
细胞质/细胞核
组织类型
FFPE
修复方式
HIER
稀释比
1:100-1:200
规格
100μl/vial, 1ml/vial
用途
RUO

Reference

1. Yamashita M, Morio T. J Clin Immunol 44(6):128, 2024 May 22.
2. Bergman H, et al. Cochrane Database Syst Rev 1(1):CD000205,2018 Jan 20.

Support Documents

Contact Us

Address
浙江省杭州市滨江区滨安路688号天和高科技园区5号楼1303室
310052
Phone & Fax
+400-8769-741
+0571-88177680
Web & Mail
sales@biolynx.cn
www.biolynx.cn

Follow Us

Scan QR Codes on Your Phone