产品中心

Luteinizing Hormone Beta 重组兔单克隆抗体

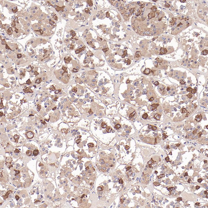
促黄体激素β(Luteinizing Hormone Beta, LHβ)是由脑垂体前叶分泌的一种异二聚体糖蛋白,能够特异性地与卵巢和睾丸组织中的LH受体结合,进而触发类固醇生成。LHβ主要在脑垂体中表达。临床诊断中,LHβ的异常表达与一系列生殖内分泌疾病有关,包括性早熟、性腺功能减退、多囊卵巢综合征(PCOS)和脑垂体腺瘤。

Specifications

目录号
BX50360
克隆号
BP6328
阳性对照
垂体
亚细胞定位
Secreted
组织类型
FFPE
修复方式
HIER
稀释比
1:100-1:200
规格
100μl/vial, 1ml/vial
用途
RUO

Reference

1. Qilin, Zhang. et al. (2023) Cell Rep Med. Feb21;4(2):100934.
2. Asa, SL. et al. (2024) Endocr Pathol. Dec;35(4):349-353.

Support Documents

Contact Us

Address
浙江省杭州市滨江区滨安路688号天和高科技园区5号楼1303室
310052
Phone & Fax
+400-8769-741
+0571-88177680
Web & Mail
sales@biolynx.cn
www.biolynx.cn

Follow Us

Scan QR Codes on Your Phone