产品中心

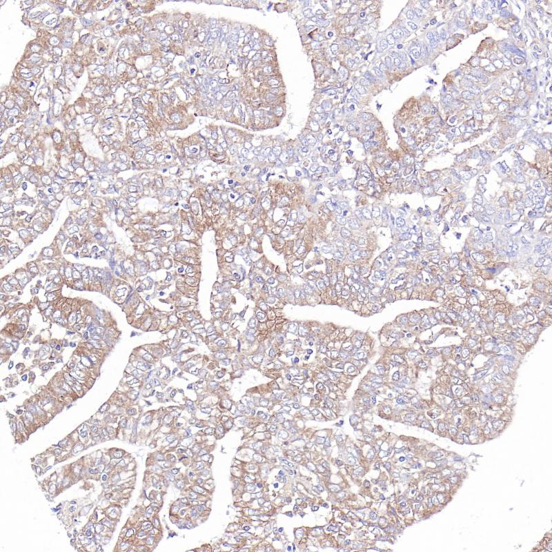
TMPRSS4 重组兔单克隆抗体

TMPRSS4是一种细胞表面附着的跨膜丝氨酸蛋白酶,其失调与癌症的发生和发展密切相关。正常生理条件下,TMPRSS4主要在胃肠道和泌尿生殖系统中低水平表达。临床上,TMPRSS4主要用于消化道、乳腺、甲状腺等上皮源性肿瘤的预后分层和诊断,其高表达与肿瘤侵袭、转移以及癌症的更短的总体生存期和无复发生存期密切相关。

Specifications

目录号
BX50359
克隆号
BP6327
阳性对照
乳腺癌
亚细胞定位
细胞膜
组织类型
FFPE
修复方式
HIER
稀释比
1:100-1:200
规格
100μl/vial, 1ml/vial
用途
RUO

Reference

1. Kim, S. et al. (2023) Exp Mol Med. 55: 716-724.
2. Valero-Jiménez, A. et al. (2018) PLoS One. 13: e0192963.

Support Documents

Contact Us

Address
浙江省杭州市滨江区滨安路688号天和高科技园区5号楼1303室
310052
Phone & Fax
+400-8769-741
+0571-88177680
Web & Mail
sales@biolynx.cn
www.biolynx.cn

Follow Us

Scan QR Codes on Your Phone