产品中心

C-Peptide 重组兔单克隆抗体

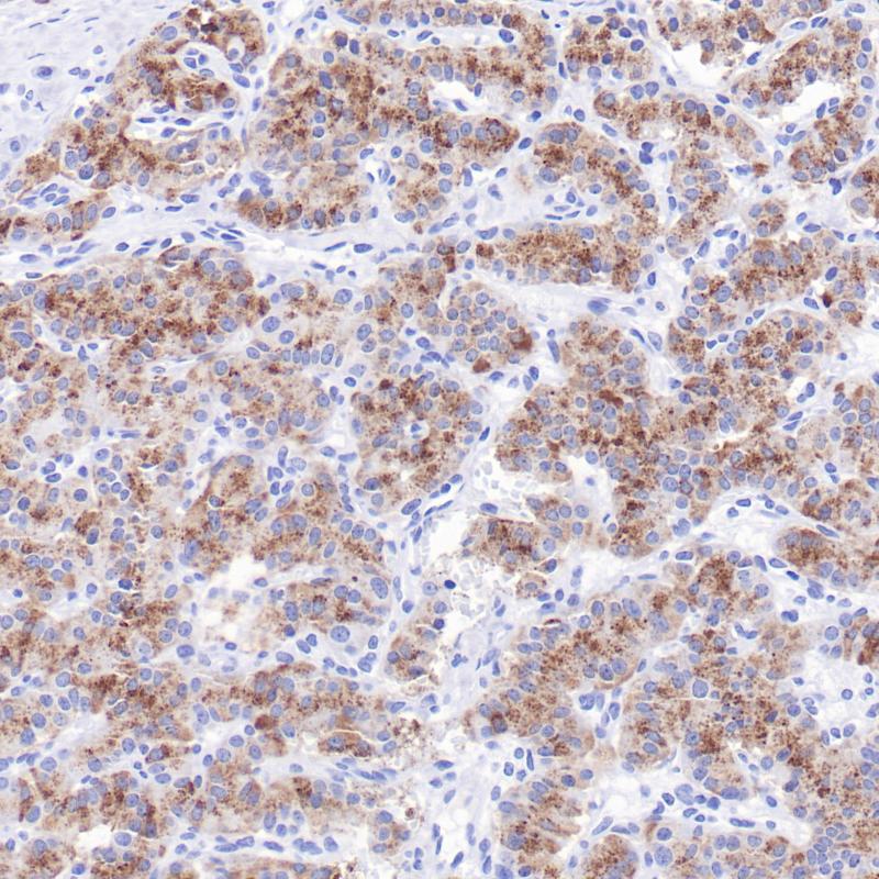
C-Peptide(C肽)是含31个氨基酸的多肽,由胰岛素原裂解产生,一分子胰岛素原产生一分子C 肽与一分子的A、B 链,后二者合成胰岛素。C肽主要在胰岛β细胞中表达,在葡萄糖刺激下,它与胰岛素以等摩尔比例一同分泌。在胰腺组织中对C肽的免疫组化是定位胰岛β细胞、鉴别胰岛素分泌性肿瘤、评估胰腺内分泌功能的核心病理标志物,主要用于胰腺肿瘤与胰岛病变的诊断与分型。

Specifications

目录号
BX50358
克隆号
BP6326
阳性对照
胰岛素瘤
亚细胞定位
Secreted
组织类型
FFPE
修复方式
HIER
稀释比
1:100-1:200
规格
100μl/vial, 1ml/vial
用途
RUO

Reference

1. Chen, J. et al. (2023) Front Endocrinol (Lausanne)14:1256093.
2. Jones, AG. et al. (2013) Diabet Med 30(7):803-17

Support Documents

Contact Us

Address
浙江省杭州市滨江区滨安路688号天和高科技园区5号楼1303室
310052
Phone & Fax
+400-8769-741
+0571-88177680
Web & Mail
sales@biolynx.cn
www.biolynx.cn

Follow Us

Scan QR Codes on Your Phone