产品中心

CD90 重组兔单克隆抗体

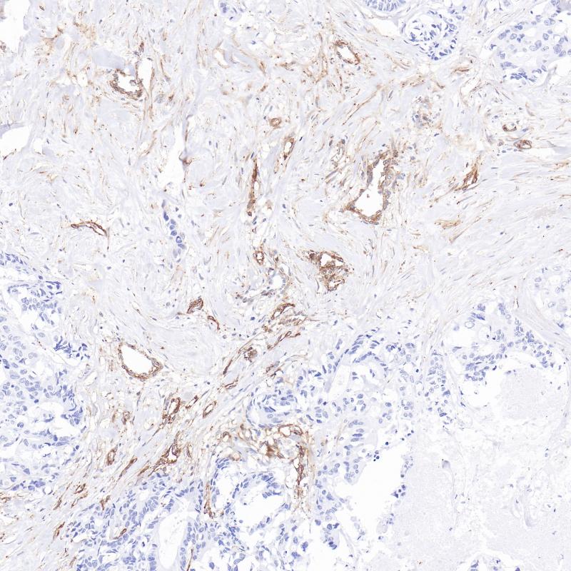
CD90(也称THY1)是一种25-37kDa高度糖基化的糖基磷脂酰肌醇(GPI)锚定的细胞表面蛋白。CD90广泛在造血干细胞、神经元、所有胸腺细胞以及外周T细胞上表达。CD90在调节癌细胞增殖、转移和血管生成方面具有重要作用,CD90也是许多癌症(如胃癌和结肠癌等)的重要预后标志物。

Specifications

目录号
BX50354
克隆号
BP6322
阳性对照
结肠癌
亚细胞定位
细胞质、细胞膜
组织类型
FFPE
修复方式
HIER
稀释比
1:100-1:200
规格
100μl/vial, 1ml/vial
用途
RUO

Reference

1. Kumar A, et al.(2016). Tumour Biol. Sep;37(9):11611- 11622.
2. Shaikh MV, et al.(2016). Cancer Biomark. 16(3):301-7.

Support Documents

Contact Us

Address
浙江省杭州市滨江区滨安路688号天和高科技园区5号楼1303室
310052
Phone & Fax
+400-8769-741
+0571-88177680
Web & Mail
sales@biolynx.cn
www.biolynx.cn

Follow Us

Scan QR Codes on Your Phone