产品中心

Mammaglobin 重组兔单克隆抗体

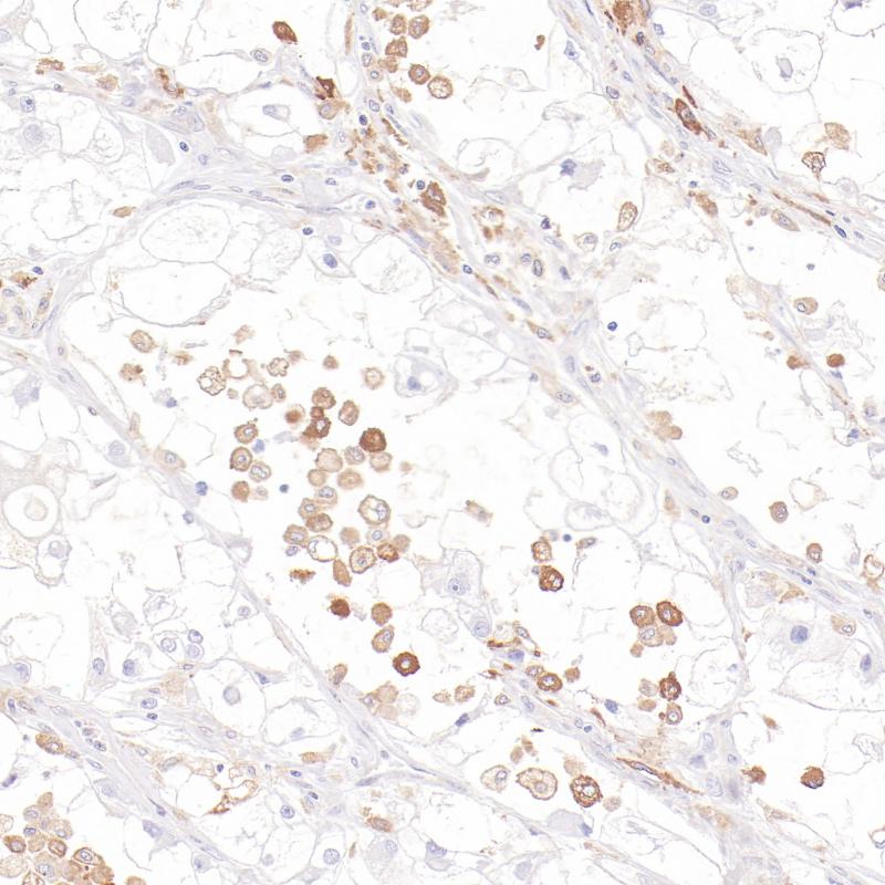
Mammaglobin 也称乳腺珠蛋白,是一种特异地表达于乳腺上皮细胞、原发性乳腺癌组织的分泌性球蛋白。该抗体具有极强的乳腺组织特异性,在正常淋巴结和非乳腺癌转移淋巴结中一般均不表达,能较好地诊断乳腺癌淋巴结微转移。

Specifications

目录号
BX50121
克隆号
BP6125
阳性对照
乳腺癌
亚细胞定位
细胞质
组织类型
FFPE
修复方式
HIER
稀释比
1:100-1:200
规格
100μl/vial, 1ml/vial
用途
RUO

Reference

1.Fanger GR  et al. Tumour Biol 23:212-21 (2002).
2.Han JH  et al. Arch Pathol Lab Med 127:1330-4 (2003).

Support Documents

Contact Us

Address
浙江省杭州市滨江区滨安路688号天和高科技园区5号楼1303室
310052
Phone & Fax
+400-8769-741
+0571-88177680
Web & Mail
sales@biolynx.cn
www.biolynx.cn

Follow Us

Scan QR Codes on Your Phone