产品中心

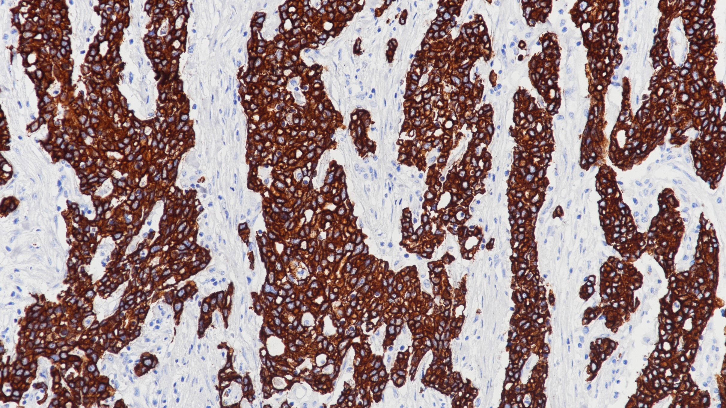
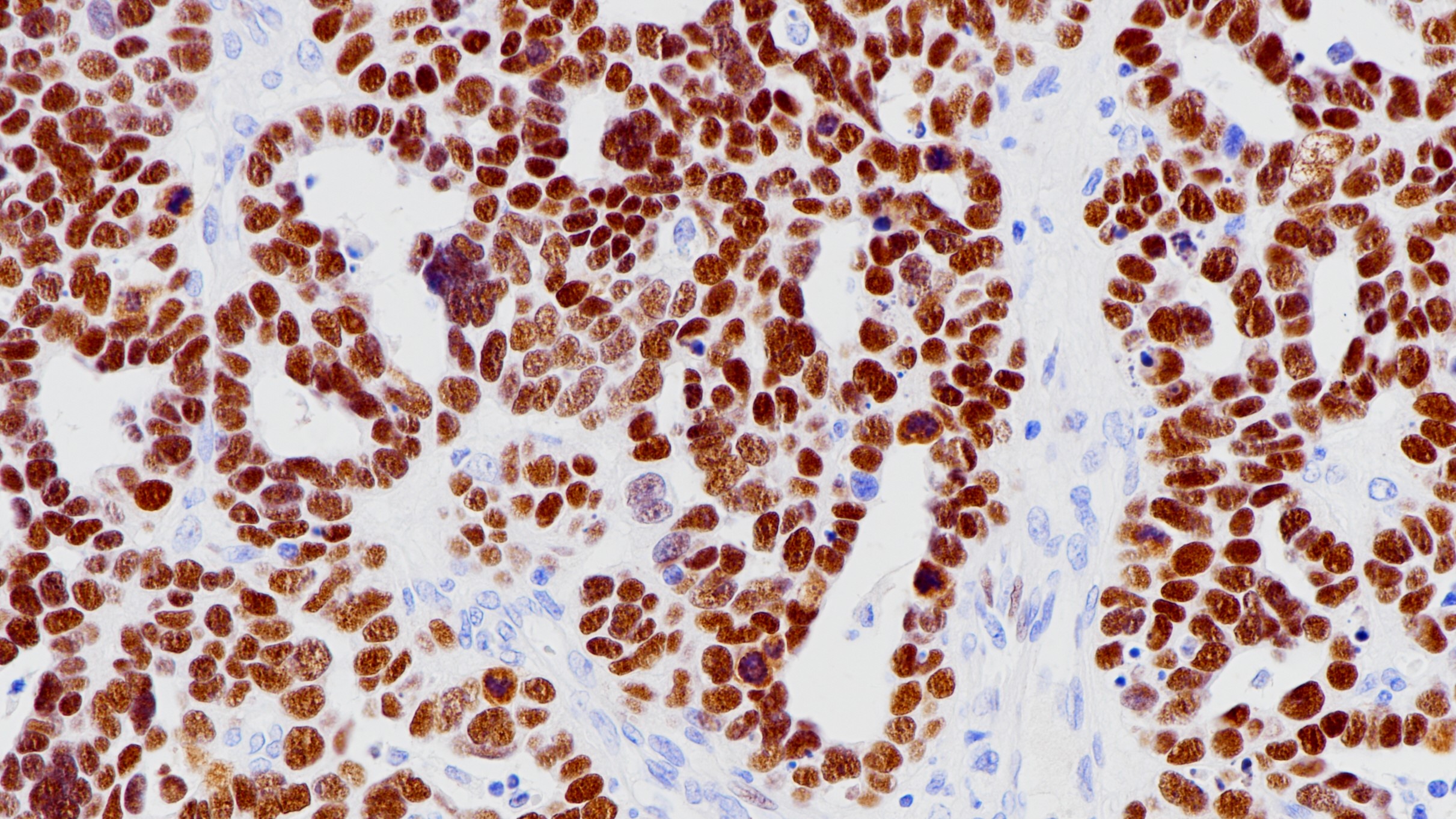
GATA3 重组兔单克隆抗体

GATA3结合蛋白,是GATA家族中的锌指转录因子,在多种组织和细胞类型中表达,对促进和引导细胞增殖、发育和分化起到重要作用。正常组织中,GAGT3常表达于乳腺、皮肤、肾脏、尿路上皮、大血管上皮的细胞核。在淋巴结中的滤泡间T细胞呈现弱胞核表达;在甲状腺、呼吸道、肺泡上皮、间质细胞、肝细胞、卵巢、子宫内膜、血管及其它软组织不表达;因此可用于组织内质控。在肿瘤组织中,GATA3在原发性和转移性导管癌、小叶癌中呈阳性表达,也被用于鉴别尿路上皮癌、前列腺癌和乳腺癌。另外有研究表明GATA3是间皮瘤诊断中一个敏感和合理的免疫标志物,用于区分肉瘤样间皮瘤和肉瘤样癌。

Specifications

产品注册名称
GATA3抗体试剂(免疫组织化学)
目录号
I1201
克隆号
EP368
亚细胞定位
细胞核
阳性对照
乳腺癌
修复方式
HIER
组织类型
FFPE
规格
工作液:1.5mL/7mL
用途
NMPA IVD

Applicable platform

  • Biolynx平台
  • Leica平台
  • Roche平台
  • Dako平台

Reference

1. Higgins JP, et al. J Surg Pathol. 2007;31:673–680.
2. Liu, H, et al.J Clin Pathol 2012;138:57-64.
3. 中华医学会.《临床技术操作规范·病理学分册》.人民军医出版社,2004.

Support Documents

Contact Us

Address
浙江省杭州市滨江区滨安路688号天和高科技园区5号楼1303室
310052
Phone & Fax
+400-8769-741
+0571-88177680
Web & Mail
sales@biolynx.cn
www.biolynx.cn

Follow Us

Scan QR Codes on Your Phone