产品中心

p53 鼠单克隆抗体

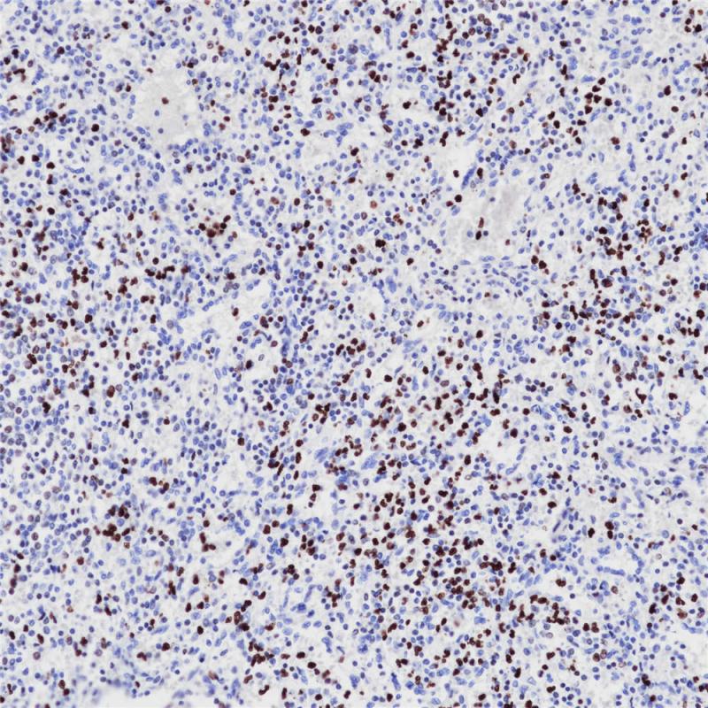
p53为肿瘤抑制因子和转录因子。通过与DNA结合,p53对细胞生长和分裂具有负调控作用。在DNA损伤的情况下,p53会阻止细胞周期直到DNA损伤修复发生。如果不能进行DNA修复,p53会诱导细胞凋亡。p53在细胞周期中有两个检查点,分别为G1和S之间及G2和M之间。p53在所有正常细胞的细胞核中表达,但由于半衰期很短,通常免疫组织化学不能检测到p53。在肿瘤组织中,p53在50%以上的人类癌症中属于过度表达。在结肠癌、乳腺癌、肺癌、前列腺癌和卵巢癌等中发现,通过免疫组织化学能检测到p53阳性染色。p53用于区分子宫浆膜癌和子宫内膜癌,并作为小管内生殖细胞肿瘤的标志物。

Specifications

目录号
BX50190
克隆号
BPM6168
阳性对照
卵巢癌
亚细胞定位
细胞核
组织类型
FFPE
修复方式
HIER
稀释比
1:100-1:200
规格
100μl/vial, 1ml/vial
用途
RUO

Reference

1. Wang L et al. IUBMB Life 71:45-56.
2. Dang X et al. Chem Biol Interact 300:82-90.

Support Documents

Contact Us

Address
浙江省杭州市滨江区滨安路688号天和高科技园区5号楼1303室
310052
Phone & Fax
+400-8769-741
+0571-88177680
Web & Mail
sales@biolynx.cn
www.biolynx.cn

Follow Us

Scan QR Codes on Your Phone