产品中心

p40 重组兔单克隆抗体

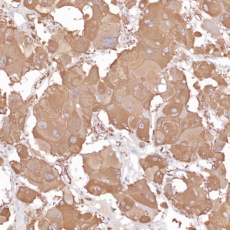
p40是p63蛋白的亚型之一,通常表达于复层上皮组织的基底细胞层或祖细胞层(如鳞状上皮、尿路上皮、支气管上皮)、某些腺上皮的基底细胞(如前列腺)、乳腺和唾液腺的肌上皮细胞、滋养层及胸腺上皮细胞。肿瘤组织中,p40在鳞状细胞癌中具有特异性表达,但肺腺癌中罕见表达,其对于肺鳞癌的敏感性类似于p63,但专一性明显优于p63,可用于肺鳞癌和肺腺癌的鉴别诊断。

Specifications

目录号
BX50028
克隆号
BP6033
阳性对照
前列腺
亚细胞定位
细胞核
组织类型
FFPE
修复方式
HIER
稀释比
1:100-1:200
规格
100μl/vial, 1ml/vial
用途
RUO

Reference

1.Nonaka D et.al, Am J Surg Pathol. 2012 Jun;36(6):895-9.
2.Bishop JA et.al, Mod Pathol. 2012 Mar;25(3):405-15.

Support Documents

Contact Us

Address
浙江省杭州市滨江区滨安路688号天和高科技园区5号楼1303室
310052
Phone & Fax
+400-8769-741
+0571-88177680
Web & Mail
sales@biolynx.cn
www.biolynx.cn

Follow Us

Scan QR Codes on Your Phone