产品中心

CD8 重组兔单克隆抗体

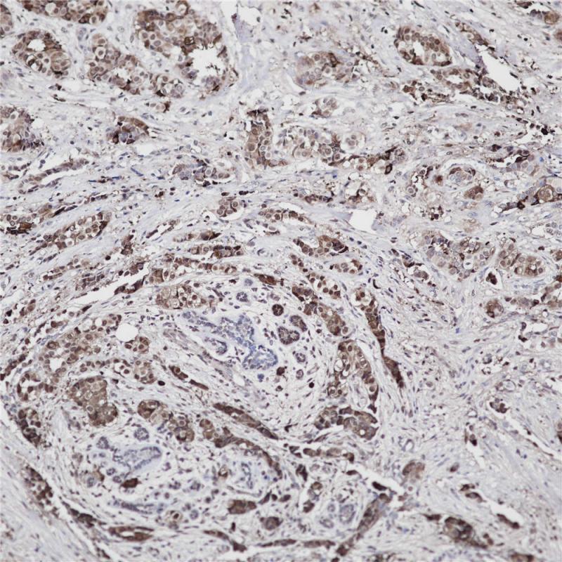
CD8抗原是一种细胞表面糖基蛋白,存在于大多数细胞毒性T淋巴细胞(CTL),作为共同受体识别与MHC I类相关的多肽TCR,并通过结合MHC来支持CTL活化,而不直接作用于多肽。CD8是CD8α和CD8β的异质二聚体,表达于细胞毒性抑制T细胞。CD8在近1/3的外周血T细胞(CD4-细胞)上表达,在自然杀伤(NK)细胞中也检测到低水平的表达。在正常的人类扁桃体中,大量的CD8+淋巴细胞存在于副皮质区,偶尔也会在生发中心的鳞状上皮中出现阳性细胞。

Specifications

目录号
BX50036
克隆号
BP6041
阳性对照
扁桃体
亚细胞定位
细胞膜
组织类型
FFPE
修复方式
HIER
稀释比
1:100-1:200
规格
100μl/vial, 1ml/vial
用途
RUO

Reference

1.Williamson SL, et.al, Am J Pathol. 1998 Jun;152(6):1421-6.
2.de la Calle-Martin O, et.al, J Clin Invest. 2001 Jul;108(1):117-23.

Support Documents

Contact Us

Address
浙江省杭州市滨江区滨安路688号天和高科技园区5号楼1303室
310052
Phone & Fax
+400-8769-741
+0571-88177680
Web & Mail
sales@biolynx.cn
www.biolynx.cn

Follow Us

Scan QR Codes on Your Phone