产品中心

Skeletal Muscle Actin 重组兔单克隆抗体

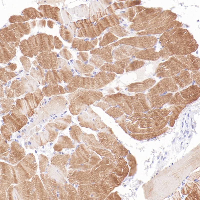
骨骼肌肌动蛋白(Skeletal Muscle Actin,SkMA)是一种在骨骼肌中至关重要的蛋白质,它属于高度保守的肌动蛋白家族,并在细胞运动、结构和完整性方面发挥着关键作用。骨骼肌肌动蛋白仅限于正常分化的骨骼肌纤维,其在心肌和外分泌腺的肌上皮层中也有微量表达。骨骼肌肌动蛋白的免疫组织化学染色通常用于确认骨骼肌或平滑肌的分化,清晰地区分横纹肌肉瘤和平滑肌肉瘤与其他低度分化的肉瘤和癌。

Specifications

目录号
BX50370
克隆号
BP6337
阳性对照
骨骼肌
亚细胞定位
细胞质
组织类型
FFPE
修复方式
HIER
稀释比
1:100-1:200
规格
100μl/vial, 1ml/vial
用途
RUO

Reference

1. Mehri, M. et al. (2017) J Cell Biol. Mar 6;216(3):793-814.
2. Dandan, H. et al. (2022) Biology. Jun 19;11(6):936.

Support Documents

Contact Us

Address
浙江省杭州市滨江区滨安路688号天和高科技园区5号楼1303室
310052
Phone & Fax
+400-8769-741
+0571-88177680
Web & Mail
sales@biolynx.cn
www.biolynx.cn

Follow Us

Scan QR Codes on Your Phone