产品中心

PRSS1 重组兔单克隆抗体

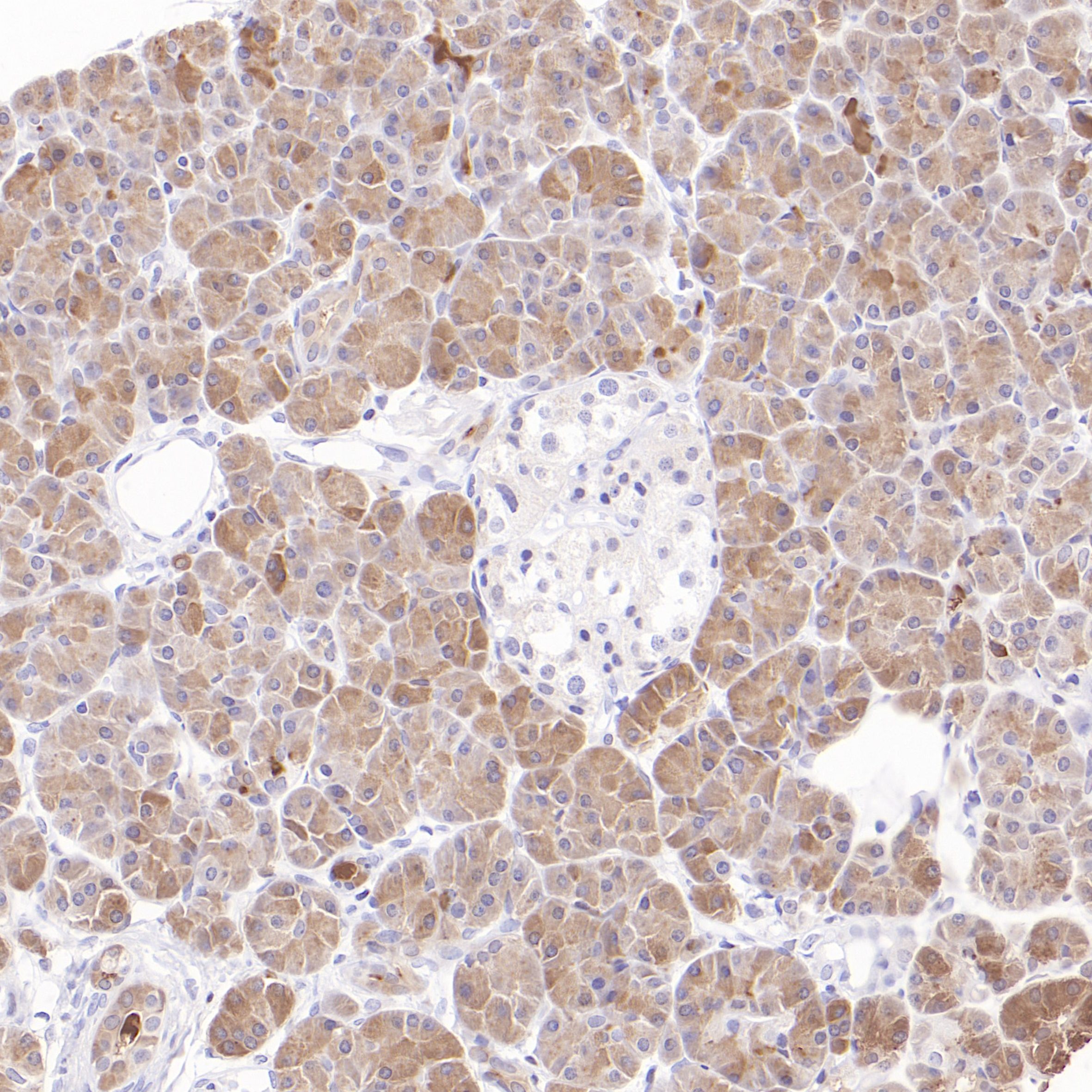
"PRSS1编码人类胰腺分泌的最主要的消化酶前体—人阳离子胰蛋白酶原,在十二指肠中被激活后会切割赖氨酸和精氨酸残基之后的膳食蛋白质。PRSS1在正常胰腺腺泡细胞中特异性富集,在胰腺导管腺癌中与癌旁组织相比反而较低或缺失。
在组织中检测PRSS1可作为急性胰腺损伤的生物标志物,且受损腺泡细胞中的PRSS1泄漏与疾病的严重程度存在关联。

Specifications

目录号
BX50369
克隆号
BP6336
阳性对照
胰腺
亚细胞定位
Secreted
组织类型
FFPE
修复方式
HIER
稀释比
1:100-1:200
规格
100μl/vial, 1ml/vial
用途
RUO

Reference

1. Girodon, E. et al. (2021) Clin Res Hepatol Gastroenterol. Jan;45(1):101497.
2. Masson, E. et al. (2013) PLoS One. Aug 8;8(8):e73522.

Support Documents

Contact Us

Address
浙江省杭州市滨江区滨安路688号天和高科技园区5号楼1303室
310052
Phone & Fax
+400-8769-741
+0571-88177680
Web & Mail
sales@biolynx.cn
www.biolynx.cn

Follow Us

Scan QR Codes on Your Phone