产品中心

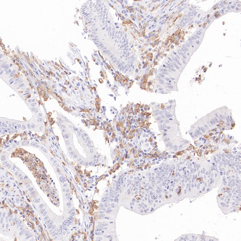
CD16 重组兔单克隆抗体

CD16,也称为Fcγ受体III (FcγRIII) ,属于免疫球蛋白超家族的糖蛋白。它有两种亚型:CD16a(FcγRIIA)和 CD16b(FcγRIIIB)。CD16a主要在自然杀伤细胞、巨噬细胞和肥大细胞上表达,而CD16b则主要存在于粒细胞中。在病理诊断中,CD16的表达有助于识别和区分NK细胞与某些T细胞亚群,这对于淋巴细胞亚群分类和其功能分析至关重要。

Specifications

目录号
BX50368
克隆号
BP6335
阳性对照
结肠癌
亚细胞定位
细胞膜
组织类型
FFPE
修复方式
HIER
稀释比
1:100-1:200
规格
100μl/vial, 1ml/vial
用途
RUO

Reference

1. Maenaka, K. et al. (2001) J. Biol. Chem. 276, 44898-44904.
2. Pignata, C. et al. (1993) J. Immunol. 151, 6794-6800.

Support Documents

Contact Us

Address
浙江省杭州市滨江区滨安路688号天和高科技园区5号楼1303室
310052
Phone & Fax
+400-8769-741
+0571-88177680
Web & Mail
sales@biolynx.cn
www.biolynx.cn

Follow Us

Scan QR Codes on Your Phone