产品中心

ANXA5 重组兔单克隆抗体

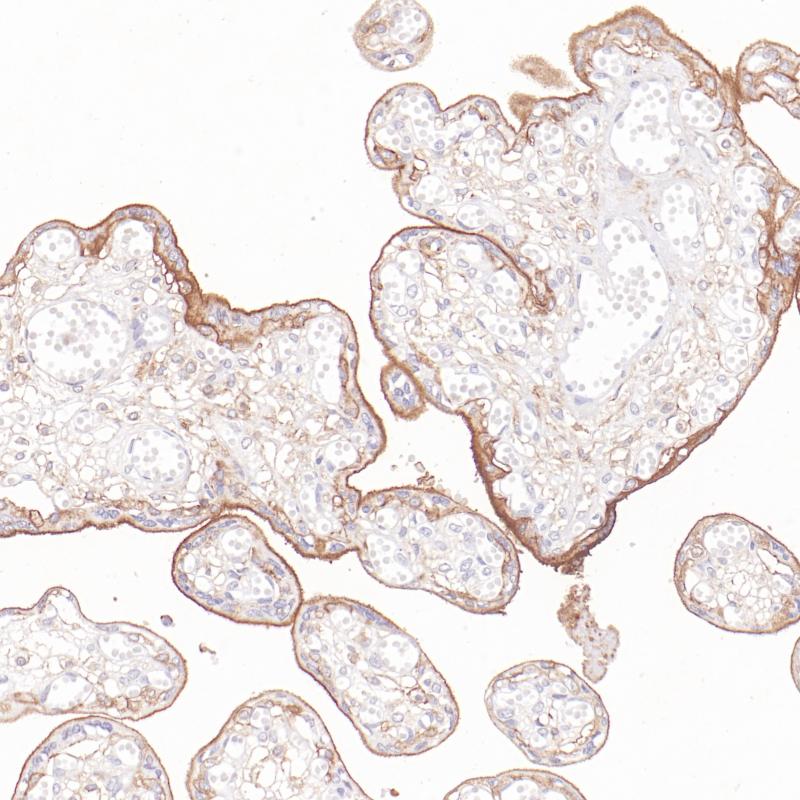
ANXA5是一种抗凝血蛋白,它能间接抑制血栓形成特异性复合物,该复合物是血液凝固过程中的一个组成部分。ANXA5在多种正常组织及肿瘤组织中广泛表达,包括心肌、肝脏、肺、肾、胎盘、前列腺、小肠、胰腺癌、肝癌、卵巢癌等。临床上,通过免疫组化可有效评估组织中ANXA5的表达与定位,对肿瘤预后分层、妊娠病理辅助诊断有重要意义。

Specifications

目录号
BX50363
克隆号
BP6331
阳性对照
胎盘
亚细胞定位
细胞膜/细胞质
组织类型
FFPE
修复方式
HIER
稀释比
1:100-1:200
规格
100μl/vial, 1ml/vial
用途
RUO

Reference

1. Yujia, B. et al. (2022) Journal of medicinal chemistry.65:16432-16450
2. Henning Karlsson. et al. (2022) Oncology letters 23:123

Support Documents

Contact Us

Address
浙江省杭州市滨江区滨安路688号天和高科技园区5号楼1303室
310052
Phone & Fax
+400-8769-741
+0571-88177680
Web & Mail
sales@biolynx.cn
www.biolynx.cn

Follow Us

Scan QR Codes on Your Phone