产品中心

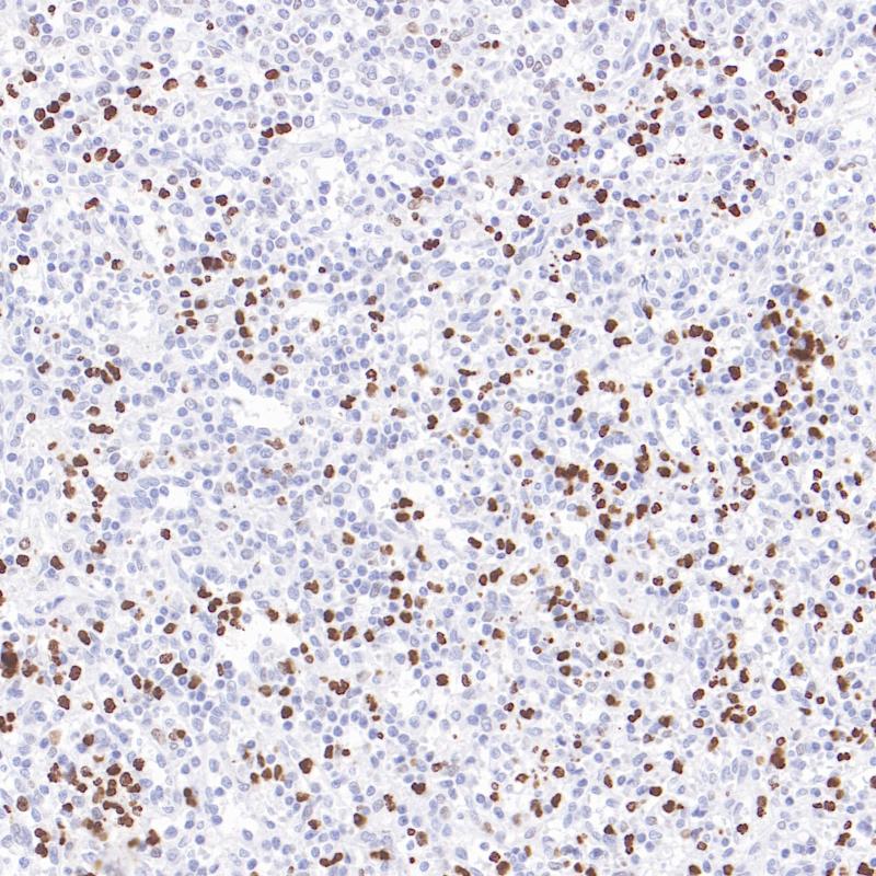
MNDA 重组兔单克隆抗体

髓样细胞核分化抗原(myeloid cell nuclear differentiation antigen,MNDA)是一种参与细胞分化和凋亡的干扰素调节蛋白,在髓系和单核细胞谱系中高水平表达,还表达于脾脏及一些淋巴结的边缘区的B细胞。MNDA的弥漫性阳性表达可将边缘区淋巴瘤与滤泡性淋巴瘤和反应性淋巴样增生区分开来,使其成为小B 细胞淋巴瘤分类面板中的首选鉴别工具。临床上MNDA用于边缘区淋巴瘤和滤泡性淋巴瘤的鉴别诊断。

Specifications

目录号
BX50362
克隆号
BP6330
阳性对照
亚细胞定位
细胞核/细胞质
组织类型
FFPE
修复方式
HIER
稀释比
1:100-1:200
规格
100μl/vial, 1ml/vial
用途
RUO

Reference

1. Bottardi, S. et al. (2024) Front Immunol. Apr12:15:1395035.
2. Meng, Y. et al. (2024) Int J Biol Sci. May 5;20(8):2814-2832.

Support Documents

Contact Us

Address
浙江省杭州市滨江区滨安路688号天和高科技园区5号楼1303室
310052
Phone & Fax
+400-8769-741
+0571-88177680
Web & Mail
sales@biolynx.cn
www.biolynx.cn

Follow Us

Scan QR Codes on Your Phone