产品中心

Tyrosine Hydroxylase 重组兔单克隆抗体

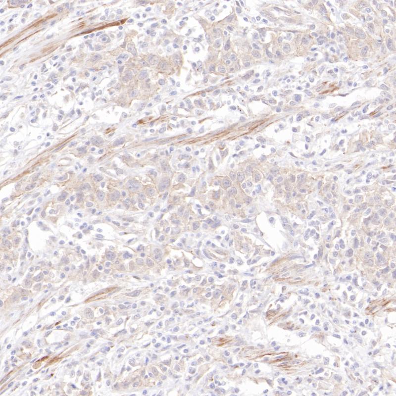
酪氨酸羟化酶(Tyrosine Hydroxylase,TH)作为多巴胺合成的限速酶,催化L-酪氨酸转化为L-DOPA,是多巴胺能神经元的经典标志物。TH主要在中枢和外周神经组织、肾上腺髓质和副神经节瘤中表达。在临床病理诊断中,TH主要用于副神经节瘤的辅助诊断,具有较高的特异性和敏感性。

Specifications

目录号
BX50342
克隆号
BP6312
阳性对照
副神经节瘤
亚细胞定位
细胞质
组织类型
FFPE
修复方式
HIER
稀释比
1:100-1:200
规格
100μl/vial, 1ml/vial
用途
RUO

Reference

1. Lehmann, I.T. et al. (2006) J Biol Chem 281, 17644-51.
2. Saraf, A. et al. (2007) J Biol Chem 282, 573-80.

Support Documents

Contact Us

Address
浙江省杭州市滨江区滨安路688号天和高科技园区5号楼1303室
310052
Phone & Fax
+400-8769-741
+0571-88177680
Web & Mail
sales@biolynx.cn
www.biolynx.cn

Follow Us

Scan QR Codes on Your Phone