产品中心

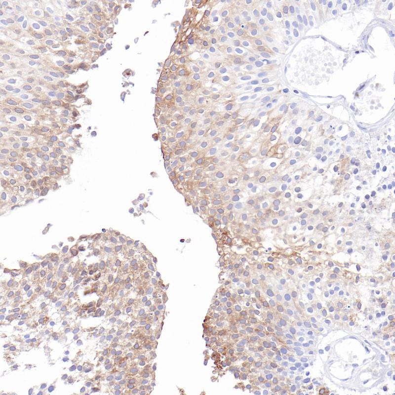
Uroplakin 1b (UPK1B) 重组兔单克隆抗体

Uroplakin 1b(UPK1B)是已知的Uroplakin家族成员之一,它们协同形成顶端不对称单位膜(AUM)斑块,在膀胱上皮细胞的稳定和强化中起重要作用。UPK1B在有限数量的正常组织中表达,包括膀胱、胃和扁桃体。研究表明,UPK1B阳性染色在区分尿路上皮癌与其他肿瘤方面具有很高的特异性。

Specifications

目录号
BX50336
克隆号
BP6310
阳性对照
尿路上皮癌
亚细胞定位
细胞质、细胞膜
组织类型
FFPE
修复方式
HIER
稀释比
1:100-1:200
规格
100μl/vial, 1ml/vial
用途
RUO

Reference

1. Bernabeu, C. et al. (2007) J Cell Biochem 102, 1375-88.
2. Dallas, N.A. et al. (2008) Clin Cancer Res 14, 1931-7.

Support Documents

Contact Us

Address
浙江省杭州市滨江区滨安路688号天和高科技园区5号楼1303室
310052
Phone & Fax
+400-8769-741
+0571-88177680
Web & Mail
sales@biolynx.cn
www.biolynx.cn

Follow Us

Scan QR Codes on Your Phone